White Line Disease Facharbeit von Linus Müller
Inhaltsverzeichnis
A Einleitung
B Quellenübersicht
1 Definition der Krankheit
2 Theoretische Grundlagen zum Aufbau der Hornkapsel
3 Theoretischer Hintergrund zur Krankheit
3.1 Erkennungsmerkmale
3.2 Behandlung der Krankheit
4 Fallbeispiel
A Einleitung
Die White Line Disease ist eine in Europa, im Gegensatz zu Amerika, nicht so häufig auftretende Erkrankung der inneren Hufwand (Stratum Medium) und der Lamellenschicht (Stratum Internum), die zu schwerwiegenden Problemen für das Pferd führen - und je nach Ausmaß eine Herausforderung für den Hufschmied sein kann. Allgemein schränken Zusammenhangstrennungen der Hornkapsel die Funktion des Hufes und damit die Leistungsfähigkeit des Pferdes erheblich ein.
B Quellenübersicht
Jan Young USA Der Huf Nr80
Michael Wildenstein USA Der Huf Nr109
1 Definition der Krankheit
Die Prägung des Begriffes „ White Line Disease“ wird Dr. Ric Redden zugeschrieben, der damit eine sich von der Hufrehe unterscheidende Zusammenhangstrennung beschrieb.
Ein anderer, mittlerweile häufiger benutzter und zutreffender Begriff ist: Onychomykosis (eine Nagelpilzinfektion, die auch beim Menschen vorkommt).
Es handelt sich bei der Krankheit der Weißen Linie immer um eine Pilzinfektion (mit oder ohne bakterielle Beteiligung), die sie von der Hohlen Wand unterscheidet. Es ist nicht geklärt, ob die Krankheit der Weißen Linie auf Grund anderer klimatischer Bedingungen in Amerika häufiger anzutreffen ist, oder ob es an einer in Europa weniger spezifischen Differenzierung der Hohlen Wand liegt.
2 Theoretische Grundlagen zum Aufbau der Hornkapsel
Die Hornkapsel
Der Huf besteht aus einer Hornkapsel, welche das distale Zehenglied des Pferdes umschließt und aus mehren Teilen besteht.
Die Hornsubstanz (Keratin), der Hornkapsel besteht aus verschiedenen chemischen Stoffen:
- S- Schwefel
- C- Kohlenstoff
- H- Wasserstoff
- O- Sauerstoff
- N- Stickstoff.
Die für die White Line Disease relevanten Hufbereiche teilen sich folgendermaßen auf:
Sichtbar:
- a) Wände :Zehenwand, Seitenwand, Trachtenwand.
- b) Sohlenbereich: Sohle, Strahl mit 3 Strahlfurchen, Weiße Linie, Eckstreben, Ballen.
Nicht sichtbar:
- a) Die Saumlederhaut bildet die Glasurschicht.
- b) Die Kronlederhaut bildet hartes Wandhorn.
- c) Die Wandlederhaut bildet ein weiches Blättchenhorn.
- d) Die Sohlenlederhaut bildet hartes Sohlenhorn.
e) Die Strahllederhaut bildet den weichen Strahl.
Die Hornkapsel dieses Präparates wurde teilweise entfernt.
Die Lederhaut von Sohle und Strahl weisen zottenförmige Papillen auf.
Die Lederhaut der Eckstreben dagegen blättchenförmige Papillen.(Eigenes Foto)
Die Verbindung zwischen Körper und Hornschuh stellen die Lederhäute dar, deren äußerste Schicht als Oberhaut Horn erzeugt.
3 Theoretischer Hintergrund der Krankheit
Es handelt sich um eine Pilzinfektion oder eine pilzartige bakterielle Infektion, die vornehmlich die Zehe befällt. Läsionen (auch durch mechanische Überlastung), Abszesse (auch nach Hufrehe), Risse, Hornspalten oder Hornklüfte bieten Eindringmöglichkeiten für Keime jeglicher Art.
Der Pilz oder die Pilze in Kombination mit Bakterien agieren unter Sauerstoff- und Lichtabschluss. Sie konsumieren Keratin und schwächen es in seiner Struktur in einem progressiven Prozess.
Das Stratum Medium, Ziel und Angriffsfläche des Pilzes, wird zu einer mehlartigen, bröckeligen Substanz zersetzt.
Die mechanische Funktionalität der Hufwand wird zunehmend geschwächt und führt früher oder später zur Lahmheit des betroffenen Pferdes. Brüchige Hufwände und Zusammenhangstrennungen größeren Ausmaßes stellen für den Hufschmied ein zusätzliches Problem dar.
Früherkennung und Behandlung schützen das Pferd vor Schmerzen, einer Wandresektion und somit den Besitzer vor einem aufwendigen und teueren Beschlag.
3.1 Erkennungsmerkmale
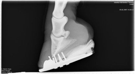
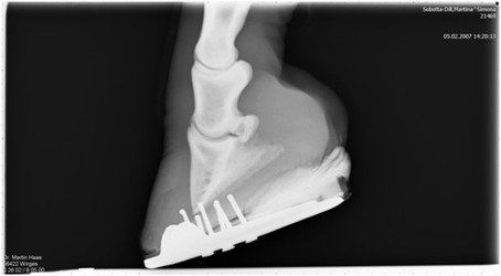
Erstes Anzeichen ist eine auf der Sohlenseite sichtbare Trennung zwischen Sohle und Wand. Wenn man aus diesem Spalt das angesammelte Material entfernt und näher betrachtet, findet man Schmutz und zerfallenes Horn, das Zersetzungsprodukt der Destruenten. Die Zusammenhangstrennung kann sich bis zum Kronsaum erstrecken und ist in ihrem Ausmaß durch eine Röntgenaufnahme feststellbar. Bei vorsichtigem Abklopfen der Hornwand klingen die betroffenen Bereiche hohl. In chronischen Fällen zeigt sich am proximalsten Punkt der Infektion eine Ausbuchtung der Wand nach außen. Wie bei allen Pilzinfektionen der Hufwand ist ein charakteristischer fauliger Geruch vorhanden.
Zur Lahmheit führt White Line Disease bei rechtzeitiger Erkennung in der Regel nicht. Erst wenn ein Drittel oder mehr der tragenden Huffläche betroffen ist, wird das Pferd lahmen. Ist der Zehenbereich stark befallen, kann es zu einer Rotation des Hufbeines kommen. Eine Röntgenaufnahme gibt dann Aufschluss über die Hufbearbeitung und den Beschlag.
Auf der Röntgenaufnahme wird unter Verwendung eines Kontrastmittels die Trennung der Wand in Form von kanalförmigen Aufhellungen sichtbar. Dies stellt auch die Grundlage für die Tiefe der betroffenen Bereiche nach proximal und den Umfang der Wandresektion dar.
3.2Behandlung der Krankheit
Je nach Umfang der Zusammenhangstrennung sollte eine Wandresektion vorgenommen werden. Diese muss nicht zwangsweise den gesamten Bereich der Separation umfassen, sondern kann auch nur teilweise erfolgen, so dass ein Zugang für Luft und medikamentöse Behandlung möglich ist.
Sind Pilze veterinär- und labormedizinisch nachgewiesen, sollte eine wöchentliche Behandlung mit Gentianaviolett 2-prozentig oder Malachit grün 2-prozentig erfolgen. Das Einbeziehen und die Einsicht des Pferdehalters für entsprechende Stallhygiene zu sorgen sowie das vorsichtige Reinigen und Einpinseln der betroffenen Stellen ist unumgänglich. Auch Baden des erkrankten Hufes in Kaliumpermanganat-Lösung führt zum Erfolg. Der Autor Wildenstein hält den Einsatz pilzvernichtender Medikamente wie Miconazol, Clotrimazol und Intraconazol für hilfreich.
Der Beschlag richtet sich nach dem Ausmaß der entfernten Hufwand. Ist noch genügend Tragerand vorhanden, tut ein normales breites Hufeisen oder ein Klebeschuh, in dem die fehlende Wand ausgespart wird, völlig seine Dienste.
Wenn ein Drittel oder mehr des Tragerandes entfernt werden musste, ist es unumgänglich, die Hufbodenfläche in die Statik mit einzubeziehen. Der Markt bietet hier für den Hufschmied einige Möglichkeiten wie Einschweissplatten, Kunststoffeinlagen mit Bodenkontakt sowie Polyurethane verschiedener Härte. Über das Herstellen bzw. Anwenden eines Herz- oder G-Eisens oder eines Eisens, welches den fehlenden Tragebereich ausspart, sollte nachgedacht werden.
Es sollte individuell entschieden werden, und zum Wohle des betroffenen Pferdes spricht auch nichts gegen kreative Ideen.
Auf keinen Fall sollte das entfernte Horn durch eines der sich auf dem Markt befindlichen Kunsthorne ersetzt werden, da so unnötig Druck auf die freigelegten, sensiblen Gewebe ausgeübt wird und das Pferd mit großer Wahrscheinlichkeit lahm geht. Außerdem ist der Zugang für die medikamentöse Behandlung nicht möglich.
4. Fallbeispiel
Es handelt sich um den 17 Jahre alten Schimmelwallach Arabin. Ein Halbaraber mit wenig ausgeprägter Hinterhandmuskulatur und relativ zur Größe von 1,50 m Stockmaß kleinen Hufen von guter Hornqualität. Die Stellung der Vordergliedmaßen ist regelmäßig. Hinten steht Arabin leicht zehenweit. Die bodenweite Stellung und Fußung der Hinterhand bedingt eine Überlastung der medialen Hufwand, die steiler und kürzer ist.
Das Gangbild im Schritt ist flüssig. Im Trab geht er nicht taktrein, eine klar zu erkennende Lahmheit ist aber auch nicht auszumachen.
Sein Fell ist stumpf, was den Schluss auf ein Stoffwechselproblem oder einen Mangel zulässt, welches durch einen Tierarzt konkret abzuklären ist.
Beim Abnehmen des Eisens am rechten Hinterhuf fiel eine dünne Lage teergetränken Hanfs auf (das Pferd wurde zuvor von einem anderen Schmied betreut). Nach eingehender Untersuchung des sich darunter befindlichen Spaltes, stellte ich einen nach proximal scheinbar nicht endenden Hohlraum fest.
Mit der Spitze eines fünf Zentimeter langen Nagels war kein Hornkontakt nach oben möglich.
Die mehlig schwarze Masse, der tiefe Hohlraum und die deutliche
Abgrenzung zum gesunden Zehenbereich unterscheidet eine White Line Disease von einer Hohlen Wand.
Angesichts der Situation und der Tatsache, dass es sich bei diesem Pferd um einen „Neukunden“ handelte, hielt ich das Hinzuziehen eines Tierarztes für unumgänglich. In Absprache mit diesem und der Pferdebesitzerin kam die Entscheidung zustande, eine Wandresektion vorzunehmen und dann erst die Beschlagsvariante zu wählen.
Die Entfernung der Wand führte ich unter Verwendung eines Dremels mit Kegelfräskopf und einem entsprechend scharfen Hufmesser durch. Es stellte sich heraus, dass die Zusammenhangstrennung bis zum Kronrand reichte.
Nach der Wandresektion und des sorgfältigen Reinigens der freigelegten sensiblen Bereiche konnte über den möglichen Beschlag nachgedacht werden. Als klar war, dass der äußere Zehennagel gesetzt werden konnte, fiel die Wahl auf einen Eisenbeschlag. Da die Wand um mindestens ein Drittel entfernt worden war, mussten sowohl Strahl als auch Sohle zum Mittragen einbezogen werden. Ich entschied mich für eine Art Herzeisen und eine Füllung mit einem Polyurethanpolster (Equi-Build von Vettec).
Es ist relativ einfach und schnell, vor Ort ein solches oder ähnliches Eisen herzustellen um Strahl und Sohle zum Mittragen einzubeziehen.
Im Anschluss an den fertig gestellten Beschlag wurde die Behandlung durch Einpinseln der betroffenen Region mit Malachit grün vorgenommen. Gleichzeitig erfolgte eine Unterweisung der Pferdebesitzerin über die weitere Behandlung und der Hinweis, dass nach etwa drei Wochen eine Kontrolle und gegebenenfalls ein Nachschneiden durch den Hufschmied nötig sei.
Die Empfehlung, ein auf das Hufwachstum und den Stoffwechsel positiv wirkendes Futter zu füttern, schien mir wegen des stumpfen Fells und des kranken Hufes sinnvoll.
Diese Art von Einlegesohlen verteilen den Bodengegendruck ebenfalls auf Strahl und Sohle und bieten zusätzlich Dämpfung.
Das Einsatzgebiet solcher Platten ist natürlich weitaus umfangreicher
Der Beschlag wurde über fünf Beschlagsperioden auf diese Art durchgeführt. Über diesen Zeitraum wurde auch immer wieder kontrolliert, ob das herunterwachsende Horn zusammen hielt, und wenn nötig, wurde von mir nachgeschnitten und erneut versorgt. Nach etwa zehn Monaten bestand lediglich noch eine kleine Schwebe. Der Huf konnte wieder mit einem normalen Eisen beschlagen werden.
Müller Linus














